ՀՐԱՉ ՊԱՐՍՈՒՄԵԱՆ
Ա.- «Յուշագիտութեան»
Զարգացումը
Զգուշացում.- Ներքեւի հատուածը կը վերաբերի վրդովեցնող իրողութիւններու, որոնք կը գործեն ի հեճուկս անիրաւուած եւ տառապահար անհատներու վկայութեան: Կան բազմաթիւ գիտական ուսումնասիրութիւններ: Արեւմուտքը քաջատեղեակ է: Կը մնայ, որ հայ վաւերագիրներ գիտակցին եւ ըստ այնմ շարժին:
Յիշողութեան խաղեր.- Վաւերագրական ժապաւէնը մնայուն ներկայութիւն ունի քարոզչական աշխատանքներու ծիրին մէջ: Ապրիլեան նախաձեռնութիւններուն մէջ մեծ բաժին կը յատկացուի վերապրողներու վկայութիւններուն: Եղեռնէն աւելի քան դար մը ետք որպէս վաւերագրութիւն կ’արձանագրուին երկրորդ եւ այժմ նոյնիսկ երրորդ սերունդի «ժառանգուած յիշողութիւն»-ները (postmemory): Յիշողութիւնը, սակայն, ուղեղի գործողութիւններէն մէկն է: Իսկ ուղեղը չէզոք «յուշադարան» մը չէ, նոյնիսկ պարտադրուած է չըլլալ այդպիսին: Այլապէս ցաւոտ յուշերը կրնան մեր կեանքը վերածել դժոխքի:
Պարզ է, որ մենք չենք կրնար յիշել ամէն ինչ: Ուղեղը կը պահպանէ «ընտրովի» յիշողութիւններ, որոնք խմբագրուած են յարմարաւէտ ձեւով: Աւելի՛ն. այդ յուշերը այս կամ այն աստիճանի կը վերախմբագրուին իւրաքանչիւր անգամ, որ վերյիշենք զանոնք: Մենք միանշանակ վաւերական կը համարենք անոնց վերջին ձեւակերպումը: Իսկ երբ հարցը կը վերաբերի մղձաւանջային յաճախանքներու…
Վկայութիւններու հաւաստիութիւնը էն գլխէն հետաքրքրած է դատական ատեանները: Հռոմէական առածը կ’ըսէր` «testis unus, testis nullus» (մէկ վկայութիւն = ոչ մէկ վկայութիւն): Քրէական ատեանները յաճախ կը յենին հոգեբաններու արժեւորումներուն վրայ: Ժամանակակից պատմութեան մէջ, նախկին Եուկոսլաւիոյ եւ Ռուանտայի համատարած պատերազմական ոճիրները քննող ատեանները բազմաթիւ վճիռներ բեկանած են, որովհետեւ հոգեբաններ վկայութիւնները նկատած են անհաւաստի: Այո՛, կարգ մը ամբաստանեալներ այս ձեւով յաջողած են ջրել մեղադրանքը: Միւս կողմէ, բազմաթիւ ոճրագործներ, ցաւօք, ազատ արձակուած են (1): Ճարպիկ փաստաբաններ կը դիմեն վկաներուն սուտ յիշողութիւններ թելադրելու հնարքին… Միջին հաշուով, տարեկան 40 հազար հոգի որպէս հալածեալ քաղաքական ապաստանեալ կը դիմէ Միացեալ Նահանգներու ներգաղթի բաժին: Հոգեբաններ կ՛արժեւորեն անոնց վկայութիւններու վաւերականութիւնը:

Գիտական հետաքրքրութեան զուգահեռ, բռնկած է նաեւ գիտաերեւակայական գրականութիւնը եւ ֆիլմարուեստը: 1966-ին լոյս տեսած է Ֆիլիփ Տիքի ստորագրութեամբ պատմուածք մը, որ կը կոչուէր «Ուի քէն ռիմեմպըր իթ ֆոր եու հոլսէյլ», որ մօտաւորապէս կը թարգմանուի` «Մենք քու փոխարէն կրնանք ամէն ինչ յիշել»: Ընկերութիւն մը յաճախորդին «կը ծախէ» անոր ցանկացած որեւէ յիշողութիւն: Ունին նաեւ յարմար գինով պատրաստի յիշողութեան «փաթեթներ»: Նիւթը «Total Recall» վերնագիրով ժապաւէնի վերածուած է առնուազն երկու անգամ 1990 – Փոլ Վերհովըն եւ 2012 – Լեն Ուայզման: Վերնագիրը բառախաղ մըն է: Կրնայ նշանակել «Ամբողջական յիշողութիւն» եւ կամ` «Բոլորովին անպէտ»: Անձնապէս «բոլորովին ցնցուած» դուրս եկած եմ ցուցադրութեան սրահէն: Այս ցոյց կու տայ, որ յիշողութեան վաւերականութիւնը Արեւմուտքի մէջ հարցականի տակ էր նոյնիսկ ժողովրդական մակարդակի վրայ:

Հարցը անհամեմատ աւելի կը սրի, երբ վկայութիւնը կը կատարէ մանուկ մը, որ ենթարկուած է ահաւոր փորձութիւններու եւ, հետեւաբար, կը կրէ այսպէս կոչուած «հոգեկան խոց» (2): Մանուկներու ուղեղները աւելի արագ կ’աճին եւ, հետեւաբար, աւելի ենթակայ են հիւանդագին այլակերպումներու:
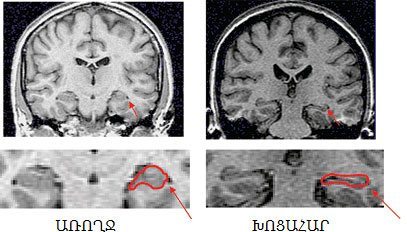
Ժամանակակից արհեստագիտութիւնը կ’օգնէ, որ հոգեբուժութիւնը դառնայ աւելի ճշգրիտ գիտութիւն: Այսօր կարելի է ուղեղի կառոյցը եւ աշխատանքը «տեսնել» երեք տարածաչափային (3 տի.) պատկերներով` շնորհիւ մագնիսական համահնչութեան (MRI) եւ այլ միջոցներու: Օրինակի համար, որեւէ տուեալ պահու ուղեղի աւելի գործօն մասերը աւելի մեծ կարիք ունին արեան: Այդ կարելի է չափել:

Կողքի նկարին մէջ սլաքը ցոյց կու տայ ուղեղի այն մասը, որ կը վերաբերի յիշողութեան (hippocampus): Չափագրութիւնները ցոյց տուած են, որ հոգեկան խոցը կը խախտէ հորմոնի հաւասարակշռութիւնը, կը կծկէ hippocampus-ը ուրեմն եւ կը խանգարէ յիշողութեան գործողութիւնը: Քովի նկարը ցոյց կու տայ, որ խոցահար ուղեղի տուեալ մասը ակնյայտօրէն խեղուած է: Նկարը առնուած է աղբիւրէ մը, որ այս մարզին մէջ դասագիրքի կարգ անցած է (3): Հարկ է այստեղ նշել, որ հոգեկան ճնշումն ու խոցը կ’այլակերպեն նաեւ ուղեղի այլ մարզերը:
Դասագիրքի կարգավիճակ ունի նաեւ այլ աղբիւր մը, որ կը կոչուի «Սուտ յիշողութեան գիտութիւնը» (4): Հատորը կու տայ հոգեբուժութեան այս մարզի զարգացման պատմականը, սուտ յիշողութիւն թելադրող փորձերու վերլուծումը եւ այժմ տիրող տեսական կաղապարները (paradigm կամ յարացոյց):
Պարզ է, որ յիշողութեան, ուրեմն եւ ականատեսներու վկայութեան վաւերականութեան հարցը ուսումնասիրութեան ընթացիկ նիւթ դարձած էր տասնամեակներ առաջ: Այստեղ կարելի է յիշել Սիտնի Լիւմիէի դասական «Սեւ ֆիլմ»-ը (ֆիլմ նուար) «12 բարկացած մարդիկ» (Twelve Angry Men, 1957), որուն ցնցիչ ուղերձներէն մէկն է քրէական վկայութիւններու «յօրինումը» եւ ենթարկումը կամայական մեկնաբանութիւններու:
Կարելի չէ ենթադրել, ուրեմն, որ արեւմտեան ատեանները եւ նոյնիսկ վաւերագրական ժապաւէններու հասարակ հանդիսատեսը որպէս անվիճելի ապացոյցներ ընդունին, օրինակ` «Ապրիլի մանուկները» (5), ուր հանդիսատեսը կ’ըլլանք բազմաչարչար ծերունազարդ հայ մամիկներու աղիողորմ վկայութիւններուն: Ահաւոր վրդովեցուցիչ զգացում:
Ի տես հոգեբուժական ժամանակակից ըմբռնումին, այս վկայութիւններէ քաղուած միակ հաւաստի եզրակացութիւնը այն է, որ այդ կիները իսկապէս տառապած են եւ կը տառապին, երբ կը պարտադրուին վերյիշել: Եթէ պատրաստուին մասնագէտներու կողմէ, նման ֆիլմեր կրնան թերեւս նկատուիլ ուսումնասիրութեան «հում նիւթ», այլ ոչ` կայացած եւ ինքնամփոփ արուեստի գործեր: Հարկ է, որ քարոզչական առաջադրանքով պատրաստուող վաւերագրական ժապաւէնները ցուցաբերեն աւելի շրջահայեաց մօտեցում:
Կրնայ թուիլ, թէ վկայութիւնները վաւերականութիւն կը ստանան վիճակագրական իմաստով, երբ կը կրկնուին բազմաթիւ վերապրողներու յուշերուն մէջ: Այս եւս պատրանք է, որովհետեւ սփիւռքեան ինքնութիւնը կազմուած է Եղեռնի շուրջ: Ձեւաւորուած է «հաւաքական յիշողութիւն»: Հարցի այս երեսը եւս վաղուց ծանօթ է Արեւմուտքին: Այս ուղղութեամբ հիմնադրական կը սեպուի ֆրանսացի փիլիսոփայ Մորիս Հալպուոչզի (1877-1945) շուրջ դար մը առաջ կատարած «Յիշողութեան ընկերային շրջանակները» (cadres sociaux եւ կամ social frameworks) աշխատանքը (1925) (6): Այս բարդ, ցաւոտ, եւ գրեթէ խոպան նիւթին հարկ է անդրադառնալ առանձին:
Այստեղ կարելի է յիշել, որ այս օրերուն Պէյրութ կը գտնուէին թուրք ընկերաբան դոկտ. Տերեա Ֆըրաթ եւ երեք ուսանողներ: Ֆըրաթ զարմիկն է ընկերվարական Քատիր Աքընի, որ հեղինակած է Փարամազի շուրջ մենագրութիւն մը (7):
«Չորրորդ սերունդի ժառանգուած յիշողութիւնը» (8) վերնագիրով ելոյթի մը ընթացքին (22 ապրիլ) խումբը խօսեցաւ զանազան երկիրներու, եւ յատկապէս Հայաստանի մէջ քանի մը տասնեակ հայերու հետ ունեցած իրենց տեսակցութիւններու մասին: Ելոյթի, հարց-պատասխանի եւ մասնաւորաբար կողմնակի խօսակցութեան ընթացքին յստակացաւ, որ անոնց աշխատանքը կը կատարուի թուրք-հայ հաշտեցման (Reconciliation) աշխատանքներու ծիրին մէջ (9): Անոնք հետաքրքրուած են տիրող ներկայ տրամադրութեամբ եւ շահագրգռուած հետեւորդներ ձեռք բերելով: Չեն փորձած, օրինակ, ուսումնասիրել ժառանգուած յիշողութեան պատմական հոլովոյթը: Կողքի պաստառին մէջ աղաւնեակներու ներքեւի կոչը կ’ըսէ` «Ձգենք, որ պատմաբանները որոշեն»: Այս նիւթին նախապէս անդրադարձած եմ հայ-թուրք հարթակի կապակցութեամբ: Շարժապատկերի հարթակը կը նկատուի «հաշտեցման գործընթաց»-ի կարեւոր աշխատանքներէն մէկը (10):
Բ.- Ինքնութիւնը Վերծանելու
Հակավաւերական Փորձ Մը
«Էքրան տիւ Ռէէլ» 12 («Իրականի պաստառներ») փառատօնի ծիրին մէջ, 6 ապրիլ 2016-ին «Ամփիր Սոֆիլ»-ի մէջ ցուցադրուեցաւ Շաղիկ Արզումանեանի (Պէյրութ, 1988) «Աշխարհագրութիւններ» ժապաւէնը (Geographies 2015 72 վ.): Ինչպէս կողքի որմազդը ցոյց կու տայ, ժապաւէնը խորքին մէջ կը փորձէ ըլլալ ոչ թէ իրաւագիտական վաւերագրութիւն, այլ` գեղարուեստական կառուցում:
Շ. Արզումանեան փորթուգալեան շարժապատկերի արխիւներու մէջ կ’աշխատի որպէս ժապաւէններ վերականգնող: Բեմադրած է կարճամեթրաժ ժապաւէններ: Կը զբաղի նաեւ նկարչութեամբ եւ լուսանկարչութեամբ:
Յոյժ ակնյայտ է, որ ժապաւէնին նպատակն է ստեղծել ուշագրաւ պատկերներ եւ զանոնք մոնթաժով իրարու կապել` ստեղծելու համար պատկերաւոր «շարահիւսութիւն»: Ցաւօք, բեմադրիչը տրամադիր չէր իր ժապաւէնէն պատճէն մը տրամադրելու, որպէսզի կարելի ըլլար աւելի հանգամանօրէն հետեւիլ ժապաւէնի «լեզուին»:

«Դիպաշարը», այսինքն` պատկերներու յաջորդականութիւնը, հիմնուած է բեմադրիչին մեծ հօր` Նազարէթի եւ մեծ մօր` Լուսաբերի կենսագրութեան վրայ: Անոնք մանուկներ էին, երբ տարագրուած են կեդրոնական Թուրքիոյ Եոզկաթ նահանգի Պուռունգըշլա գիւղէն: Պուռունգըշլա մօտաւորապէս կը թարգմանուի «Կտցաբերդ» (11): Երկու տարագիր որբերը ապա շրջած են Միջին Արեւելքի զանազան քաղաքներ (Գահիրէ, Սայտա, Պէյրութ, …), ապա իրարու հանդիպած եւ ամուսնացած են:

Բացման տեսարանին մէջ կը տեսնենք պատմական կցկտուր ձեռագիր գորշ հողագոյն քարտէս մը (տե՛ս կողքի որմազդը), որ թուային ճարտարութեամբ տակաւ կը վերածուի նոյնպէս գորշ եւ խոպան դաշտային համայնապատկերի մը, որ նկարուած է մեծ բարձրութենէ (թերեւս` ուղղաթիռէ մը, նկատել տեսանիւթի եւ քամերայի միջեւ եղած հեռաւորութիւնը): Հանդիսատեսը կրնայ ենթադրել, որ ժապաւէնը այնուհետեւ պատմական կցկտուր տուեալները պիտի վերածէ շօշափելի իրականութեան: Այդ ակնկալութիւնը, աւաղ, շուտով կը փարատի:
Քամերան կը շրջի տարագիր մանուկներու ուղեգիծով (itinerary) եւ ցոյց կու տայ այդ վայրերու ներկայ պատկերը: Մենք կը տեսնենք Գահիրէի ահաւոր խճողումը, Քարանթինայի նեղլիկ թաղերը, կամուրջներ, ծովեր, ծառեր, մայրամուտներ… Ապա կ’ոստնունք դէպի Գեղամայ լեռներու նախադարեան Զօրաց քարեր եւ կը վերադառնանք Էշրեֆիէ թափուր տուն մը, ուր ծերունազարդ կին մը կը ձեւացնէ դաշնակ նուագել: Կային նաեւ այլ խաղարկային դերակատարներ, ինչպէս` Քարանթինայի «Փերափիոն» տատիկը, հայ մանկիկ մը, եւ արաբ մանչուկ մը, որոնք րոպէանոց պատուիրուած պատկերներ ներկայացուցին:
Քամերան միանշանակ հեռու է նիւթէն: Արզումանեան չի մօտենար Քարանթինայի հայ տատիկին եւ կամ կամուրջի տակ ապրող մուրացկան աղջկան: Վերի որմազդին մէջ մենք հեռուէն կը տեսնենք ոտքէն գլուխ ծածկուած անորոշ կերպար մը, որ իր կարգին լերկ գետին փլած` կը դիտէ մշուշի մէջ կորած տուներու կոյտը:
Զերթ դիտաւորեալ աղաղակող հակադրութիւն` Արզումանեան կը մօտենայ երեք գործողութիւններու, որոնք առերեւոյթ ոչ մէկ կապակցութիւն ունին որբերու Գողգոթային հետ: Կը տեսնենք վարպետ մը, որ իր շունչով եւ արուեստով ձեւ կու տայ շիկացած ապակեայ լաւային: Քամերան մօտէն ցոյց կու տայ վարպետ ձեռքեր, որոնք գեղեցիկ կերպարանք կու տան անկերպարան կաւի կծիկին: Այլ ձեռքեր, որոնք հասարակ պտուղը կը վերածեն ռուպի: Ուրեմն բեմադրիչը եւս կը յաւակնի գեղարուեստական կերպարանք տալ վաւերական պատկերներու քաոսին, քամել դիպուածի հիւթը, անոր մէջ փչել իր կերպարանակերտ շունչը եւ ապա հանդիսատեսին հրամցնել գեղարուեստական կոթողներ:
Դաշնակի նուագը, ինչպէս նաեւ ժապաւէնի բոլոր ձայներն ու նոյնինքն բեմադրիչի միապաղաղ անհատնում պատումը չեն ծագիր պաստառի պատկերներէն: Ֆիլմարուեստի բարբառով այդ կը կոչուի «non diegetic» (որ թերեւս կարելի է թարգմանել որպէս «արտապատկերային»): Կը լսենք, որ Նազարէթի ժառանգներէն մին այրած է փիլիսոփայութեան իր բոլոր դասագիրքերը: Կը թուի, թէ բեմադրիչը այրած է նաեւ իր հայերէնի՛ դասագիրքերը: Պատումի լեզուն եւ հայեցակարգը ունին դպրոցական շարադրութեան մը մակարդակը: Արզումանեան հայկական ծագումով ֆրանսացի նկարիչ մըն է, որ իր տոհմի տարագրութեան պատմութիւնը որպէս պատրուակ կը գործածէ պատկերաւոր լեզուի ինքնանպատակ լարախաղացութիւններ ցուցադրելու համար:
Ժապաւէնը ոչ մէկ իմաստով փաստագրական է: Մօտեցումը վերացապաշտ է, ձեւապաշտ: Զինք կը հետաքրքրէ երկրաչափութիւնն ու գոյները, որոնք հասկնալիօրէն գորշ էին: Բեմադրիչի նպատակն է կառուցել գեղեցիկ պատկերներ: Պէտք է ընդունիլ, որ այս ուղղութեամբ ունի որոշ շնորհ: Ժապաւէնի պատկերներուն մէջ, սակայն, ոչինչ կայ պատմական եւ ոչինչ հայկական: Որմազդներէն մէկը, օրինակ, լաբիրիւնթոս մըն է` ներշնչուած արաբական գեղագրութենէ, այլ ոչ` ներշնչուած, օրինակ, մեր մանրանկարչութենէն:
Այո՛, ինչպէս քամերան, այնպէս եւ Արզումանեան հեռու են պատումի առարկայէն: Իր պապերու օրրանին մէջ քամերան կը մնայ ընդամէնը քանի մը վայրկեան: Չենք տեսներ գեղեցիկ գիւղը, չենք տեսներ հայկական գերեզմանատունը եւ մատուռ, որոնք վերջին տասնամեակներուն դարձած են ուխտավայր: Չի փորձեր գտնել գիւղի երկու եկեղեցիները (Ս. Աստուածածին եւ Ս. Երրորդութիւն) եւ ոչ նուազ քան վեց վարժարանները: Այնտեղ, փոխան գիւղի ներկայ բնակիչներուն, մեզի ցոյց կու տայ մոլորած կով մը: Ժեսթ մը, որ քաղաքական իմաստով տգեղ կաֆ մըն է:

Պոլսոյ մէջ իր կեդրոնը ունեցող Պուռունգըշլայի հայրենակցական միութեան ատենապետ Յովսէփ Արզուման (սլաքով ցոյց տրուած) շնորհակալութիւն յայտնած է շրջանի (Սարըքայա կամ Դեղին Ժայռ) նահանգապետ Եաշար Տէօնմեզի եւ քաղաքապետ Օսման Էրպիրի` գերեզմանատունը պատելու եւ բարեզարդելու (2010 թ.), իսկ Թերզիլիի իմամին դեռեւս կանգուն մատուռը պահպանելուն համար: Պուռուգըշլացի վաթսուն հայերու 2012 թուի ուխտագնացութիւններուն շուրջ հասանելի են բազմաթիւ թղթակցութիւններ եւ տեսերիզներ (12):

Աբէլ (1906-1962) եւ Եւա (1908-1958) Արզումաններու երկու շիրիմները բարեզարդուած էին, երբ քամերան կը նկարէր զարմանահար կովը (տես կողքի նկարը): Համագիւղացի կովն իսկ ապշահար հարց կու տայ, թէ ինչո՞ւ Շաղիկ կը նկարէ զինք` փոխանակ նկարելու իր նախնիներու շիրիմներն ու կանգուն ուխտավայր մատուռը, որուն ներկայ տնտեսն է գիւղի թուրք իմամը: Միթէ այդ յիշարժան երեւոյթ չէ՞, երբ իր այցելած այլ վայրերուն մէջ կը տիրէ տահեշեան խժդժութիւնը:

«Աշխարհագրութիւններ» ժապաւէնը ինքնապաշտ ասք մըն է իր տիրոջ մասին: Անոր կցուած արտապատկերային պատումը չի փորձեր վերականգնել որեւէ հաւաքական անցեալ: Ասիկա շատ հասկնալի է, որովհետեւ ֆրանսական բարձրագոյն կրթութիւն (մագիստրոս) ստացած բեմադրիչը վստահաբար քաջատեղեակ է խոցահար վկայութիւններու վաւերագրութեան շուրջ տիրող գաղափարական կաղապարներուն…
Շարունակելի…


